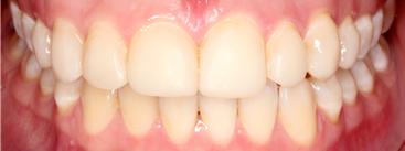
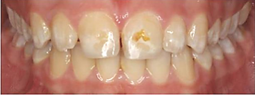
Penn Stent
This uses flowable composite resins into a laboratory made template to create great contours on your veneers.
putty impressions will be taken of your teeth. the dental laboratory will wax them up on a stone model to get the most naturally aesthetic shapes and lengths. Then a stent is made to replicate the shapes in the wax up.
after the teeth are polished and prepared to bond the new resin material, the stent is position in place and we flow the resin through small openings in the stent.
The final stage is after the stent is removed, the bite is adjusted, shapes adjusted slightly if needed and the veneers are polished. Its a great way to get more ideal contours than can be achieved freehand and a much lower cost than the porcelain.
1. After orthodontics
2. Penn stent in place
3. After initial injection
4. Completed and in place for 3 years
