Bridge
A bridge is one of the options to replace one or more missing teeth. It is a permanent fixture which is anchored to the adjacent natural tooth or teeth (the abutment) to ‘bridge’ the gap where the tooth (or teeth) is missing (the pontic). This also prevents the adjacent natural teeth from drifting.
A bridge is a great option if you do not wish to have dental implants or a denture to replace your missing tooth or teeth. There are many different designs and materials which can be used for bridges: your dentist will discuss the best option for you.
Each bridge is individually handcrafted by our dental technician to create a healthy, natural look which also sits comfortably with your bite.
There are several types of bridges
![]() |
![]() |
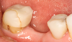
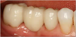
| Before | After |
Cantilever Bridge – This is a bridge with one false tooth or ‘pontic’ which is attached to one crown ‘the abutment’
Fixed- Fixed Bridge – Generally consists of three crowns joined together, one at each end which cover your natural teeth and a crown in the middle which replaces your missing tooth.- Some bridges may actually be four, five or even more crowns joined together, designed to replace more than one of your missing teeth
Adhesive Bridge – This bridge has a false tooth (the pontic) to which a metal or tooth coloured ‘wing’ is attached to a natural tooth on either side of the missing tooth. This type of bridge can have one or two wings
Dental bridges can be made using the following materials - all metal (often gold) or tooth coloured bridges such as porcelain fused to metal (often gold or a gold alloy), full ceramic (porcelain) or composite (plastic with glass particles embedded). The material used will depend on why you are having the bridge.
Two appointments are necessary, the first to prepare the tooth for the bridge abutments and the second to fit your bridge.
The preparation appointment
- A local anaesthetic may be need to numb the tooth and surrounding gum
- The dentist will then shape the outer surfaces of the tooth, creating a cylindrical shape onto which the bridge will seat.
- An impression (mould) is taken of your teeth using special dental "putty". The putty is placed into an impression tray; they are both then inserted into your mouth and pushed onto your teeth in order to take an impression. Once the dental putty is set the impression will be removed. An impression is also taken of the opposing teeth, so the technician can see how you bite together
- A temporary crown will be cemented onto the prepared tooth to protect it whilst your bridge is being fabricated.
- The impressions will be sent to the dental laboratory where our technician will handcraft your dental bridge. This will take between two and three weeks.
The “Fitting” Appointment
- A local anaesthetic may be need to numb the tooth and surrounding gum
- The temporary crown will be removed and the tooth will be washed to remove the temporary cement.
- The dentist will then try in your new bridge, making sure that it fits correctly and that you are happy with the appearance. The bridge will then permanently cemented in place.


