White Fillings
Fillings are the most common type of ‘restorative treatment’. A filling replaces the part of the tooth that has been lost because decay has caused a cavity in the tooth or because the tooth has broken. One option in restoring the tooth is to have a white filling, commonly known as a ‘Composite Filling’.
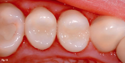
Many people have fillings, the majority being grey metal called ‘Amalgam’. Fillings do not just have to be practical, they can also be aesthetically pleasing and thus many patients no longer have the desire for amalgam fillings because they are visible : with most white fillings, no-one would know it was there.
Composites are
- Composite are referred to as white fillings. Composite is a tooth coloured material composed of glass particles suspended in a resin matrix. It is available in several shades to perfectly match your tooth.
- Composites are bonded directly to your tooth which can help to support the remaining tooth structure.
Composites can be used for a variety of cosmetic dental procedures –
Repairing chipped or broken teeth- Closing gaps between your teeth (diastemas)
- Reshaping your teeth
Composite is not ideal for all restorations on back teeth especially if you have a large cavity, as bonding does not have the strength over large areas or if you have a heavy bite, grind or clench your teeth. The alternative tooth coloured restoration then would be an inlay or onlay.
