Inlays/Onlays
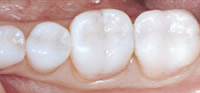
Inlays and Onlays are restorations that are used to rebuild a tooth that has lost a significant amount of its structure due to decay or trauma. Similar to dental fillings but rather than being directly placed into your tooth and then set, they are fabricated in our dental laboratory and then cemented into place. This is known as an ‘indirect procedure’. Inlays fit into the tooth whereas onlays sit on top of the remaining tooth structure.
![]() |
Inlays and Onlays can be constructed using –
- Porcelain
- Gold
- Composite
Your dentist will evaluate your tooth to see if it is suitable for an Inlay or Onlay and also decide which material is best.
The procedure
Two appointments will be necessary: the first to prepare the tooth surface and the second to fit the Onlay or Inlay.
The first appointment
- A local anaesthetic is given to numb the tooth and the surrounding tissue.
- Any decay that is present will be removed and the tooth surface will be prepared for the restoration.
- An impression (mould) is taken of your teeth using special dental "putty". The putty is placed into an impression tray; they are both then inserted into your mouth and pushed onto your teeth in order to take an impression. Once the dental putty is set, the impression will be removed. An impression is also taken of the opposing teeth, so the technician can see how you bite together.
- A temporary restoration will be placed on the prepared tooth to protect it whilst your Inlay or Onlay is being fabricated.
- The impression is sent to our Dental Laboratory where our technicians will custom make your Inlay or Onlay. This can take up to two weeks.
The Fit Appointment
- A local anaesthetic may be needed to numb the tooth and surrounding gum.
- The temporary restoration will be removed and the tooth cleaned.
- The dentist will then try in your new Inlay or Onlay, making sure the fit is perfect, your bite is comfortable and you are happy with the appearance. The Inlay or Onlay will then be permanently cemented in place.

